Понад 2,6 мільйона людей стали учасниками найбільшого дослідження подагри в історії медицини. Результати кардинально змінили уявлення про цю болючу недугу, яка мучить людство століттями.
Міжнародна команда науковців порівняла ДНК 120 тисяч хворих на подагру з генетичним кодом здорових людей. Дослідники виявили 377 специфічних ділянок ДНК, пов'язаних із захворюванням. 149 з них раніше взагалі не асоціювали з подагрою.
Епідеміолог Тоні Мерріман з Університету Отаго наголошує: подагра — це хронічне захворювання з генетичною основою, а не вина хворого. Міф про зв'язок з неправильним харчуванням треба розвінчати назавжди.
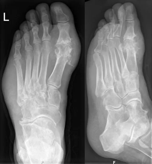
Подагра починається з високого рівня сечової кислоти в крові. Кислота утворює гострі кристали в суглобах, які імунна система сприймає як загрозу та атакує. Саме це викликає нестерпний біль.
Генетика впливає на кожен етап процесу. Вона визначає, як організм транспортує сечову кислоту та наскільки агресивно імунітет реагує на кристали.
Відкриття дає лікарям додаткові цілі для терапії. Існуючі препарати можна переорієнтувати на управління імунною відповіддю організму.
Головна проблема — стигматизація хворих. Багато людей соромляться звертатися до лікаря, вважаючи подагру наслідком власної безвідповідальності. Між тим, існують ефективні препарати, що знижують рівень уратів у крові та попереджають больові напади.
Дослідження базувалося переважно на даних людей європейського походження, що обмежує його універсальність. Проте воно кардинально змінює розуміння подагри як медичної проблеми.
Мерріман сподівається, що результати призведуть до розробки кращих методів лікування. Подагра потребує більшої уваги системи охорони здоров'я та додаткового фінансування досліджень.











